Are your teeth stained, chipped, or not aligned on top of each other? Veneers are a good treatment option to consider because they look like natural teeth and don't require a major procedure.
A veneer is a very thin, tooth-coloured piece of porcelain (like a false finger nail) that is bonded on top of your own tooth. Based on your needs, we can adjust the shape of your veneers to make your teeth overall look longer and or closer together. You can have just one veneer or a whole set, known as a smile makeover.
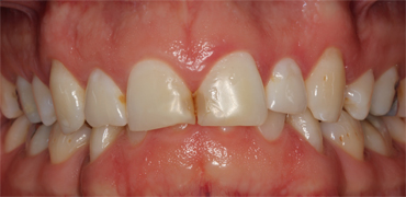
For a single stained tooth we can also match the precise shade of porcelain to give it a lighter appearance and fit in with the surrounding teeth. Veneers can also be used to close small gaps, when braces are not suitable. If one tooth is slightly out of position, a veneer can sometimes be fitted to bring it into line with the others.
Discolored fillings, chipped front eeth
Minimum preparation
Anterior veneers
Gaps, discolored teeth, defective fillings
Final restorations
Protruding front teeth
Correction of malposition of teeth without braces






